Straight Legs
Surgeries
Examinations
Files
EN
Book a call
Surgeries
Orthopedic
Body modifications
Gunshot damages consequences
Examinations
Short-films
Standing long-films
CT
Files
Regulating documentation
Preoperative agreements
Patents
Publications
Prices
Book a call
EN
RU
Orthopedic
Body modifications
Gunshot damages consequences
Short-films
Standing long-films
CT
Regulating documentation
Preoperative agreements
Patents
Publications
Prices
EN
RU
Book a consultation
CT
CT
/
Home
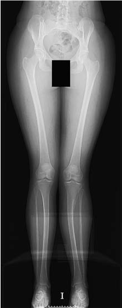
Parameters;Right;Left;Normal;Discrepancy;Normal discrepancy
Femur anteversion;20°;-6°;20-25°;26°;0-15° Tibiae retroversion;30°;19°;30-35°;11°;0-15°
Regulating documentation
Straight Legs
Orthopedic
Body modifications
Gunshot damages consequences
CT
Standing long-films
Short-films
Regulating documentation
Preoperative agreements
Patents
Publications
Prices
kulesh_pavel@mail.ru
This site is provided for informational purposes.
Trust your health to professionals
Leave your contacts and our receptionist will contact you to arrange a day and time for your consultation.
Get a consultation
Made on
Tilda